El Ayuntamiento de Camargo inicia este lunes, 6 de abril, la obra de mejora de la red de abastecimiento de agua en el barrio de Santa Cruz de Escobedo, con una inversión de 87.500 euros y una duración prevista de ocho se...
El Parque de la Naturaleza de Cabárceno y Fuente Dé, instalaciones gestionadas por la Sociedad Regional Cántabra de Promoción Turística (Cantur), y la cueva El Soplao han recibido en Semana Santa un total de 59.997 visitantes, un 2,6% más que en 2025 (58.470), al contabilizar los datos de afluencia obtenidos desde el sábado 28 de marzo hasta este domingo 5 de abril.
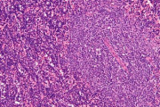
El Servicio de Anatomía Patológica del Hospital Universitario Marqués de Valdecilla está desarrollando un estudio para validar el primer algoritmo de inteligencia artificial de apoyo al cribado del cáncer de próstata, que ha sido diseñado en el propio hospital junto al Instituto de Física de Cantabria y Siali Technologies.
La presidenta de la Comunidad de Madrid, Isabel Díaz Ayuso, ha defendido este lunes que el PP actual "no tiene nada que ver" con el `caso Kitchen` --cuyo juicio que arranca hoy y que investiga el presunto operativo orquestado por la excúpula del Ministerio del Interior para robar información al extesorero del PP Luis Bárcenas-- y ha criticado que el PSOE quiera "empatar" al comparar este caso con la investigación sobre la compra de mascarillas que arranca mañana.
El funeral por el histórico miembro del Partido Regionalista de Cantabria, Javier López Marcano, que ha fallecido este jueves a los 71 años de un infarto, se celebrará el próximo lunes, 6 de abril, a las 13.00 horas en la iglesia parroquial de Nuestra Señora de la Asunción, en Torrelavega.
Puig avanza en la que el mercado ya califica como una operación transformacional con Estée Lauder, que podría alumbrar un gigante mundial de la belleza valorado en torno a 50.000 millones de euros de valor empresarial, según un informe de Jefferies remitido a clientes institucionales.
El Ilustre Colegio Oficial de Podología de la Comunidad Valenciana (ICOPCV) ha advertido que las deformidades digitales en los pies de los adultos son más frecuentes en mujeres que en hombres, y que este tipo de patologías representa un 60 por ciento de los casos, superadas únicamente por las afecciones ungueales que ocupan la primera posición con un 75 por ciento.