Noticias de Cantabria

Salud

Un estudio advierte de que el hígado graso no alcohólico "se ha convertido en una epidemia" mundial

La enfermedad del hígado graso no alcohólico (HGNA) se ha convertido en "una epidemia", similar a las enfermedades no transmisibles como el cáncer, la obesidad, las enfermedades cardiovasculares y la diabetes. En un artículo de revisión publicado en la revista científica `The Lancet Diabetes & Endocrinology`, investigadores destacan en primer lugar hasta qué punto la HGNA y la diabetes se dan conjuntamente en todo el mundo.

Experto del HNP, sobre los últimos avances en lesión medular:"Somos optimistas, cada vez estamos más cerca pero cautela"

Los avances en la curación de lesiones de médula espinal han avanzado mucho en los últimos años, hasta el caso de que en la última semana se ha conocido que tres pacientes parapléjicos han podido ponerse de pie, lo que ha supuesto para el jefe del Servicio de Rehabilitación del Hospital Nacional de Parapléjicos (HNP, Toledo), Ángel Gil, una noticia "esperanzadora" y que evidencia que "los plazos para tratar la enfermedad cada vez se acortan más" pero sobre la que pide "cautela" ante la necesidad de seguir analizándola y ver cómo se desarrolla en los próximos años.
El 41% de familias gasta más de 10.000 euros por el cáncer, lo que podría ser "inasumible" para 30.000 pacientes

El 41% de familias gasta más de 10.000 euros por el cáncer, lo que podría ser "inasumible" para 30.000 pacientes

El cáncer provoca un coste económico, entre gastos directos e indirectos, al 41 por ciento de las familias españolas superior a 10.000 euros durante la enfermedad, lo que podría ser "inasumible" para cerca de las 30.000 personas que son diagnosticadas de cáncer y están en paro, son autónomos o su salario se encuentra por debajo del salario mínimo interprofesional (SMI), según el primer informe sobre la inequidad del cáncer en España, publicado por la Asociación Española contra el Cáncer (AECC) este viernes, con motivo del Día Mundial contra el Cáncer.
Sanidad retira del mercado un test de antígenos que daba resultados falsos positivos

Sanidad retira del mercado un test de antígenos que daba resultados falsos positivos

La Agencia Española de Medicamentos y Productos Sanitarios (AEMPS) del Ministerio de Sanidad ha emitido una alerta de vigilancia para requerir el cese de comercialización y retirada del mercado de un test de autodiagnóstico para la detección de antígenos de SARS-CoV-2, de la compañía Genrui Biotech Inc (China), debido a "un posible aumento de resultados falsos positivos".
Sanidad retira del mercado un test de antígenos que daba resultados falsos positivos

Sanidad retira del mercado un test de antígenos que daba resultados falsos positivos

La Agencia Española de Medicamentos y Productos Sanitarios (AEMPS) del Ministerio de Sanidad ha emitido una alerta de vigilancia para requerir el cese de comercialización y retirada del mercado de un test de autodiagnóstico para la detección de antígenos de SARS-CoV-2, de la compañía Genrui Biotech Inc (China), debido a "un posible aumento de resultados falsos positivos".

El ECDC alerta del inicio de la epidemia de la temporada de gripe en Europa

En la semana que comenzó el 13 de diciembre, el número de casos de gripe detectados en la región europea de la OMS fue superior a lo normal por segunda semana consecutiva, lo que indica que ha comenzado la llamada epidemia de la temporada de gripe, según el Centro Europeo para la Prevención y Control de Enfermedades (ECDC).

2021 ha sido el gran año que ha dado esperanza a pacientes con cáncer de mama

El año que se acaba, el segundo de la pandemia, ha estado marcado en todo el mundo por el proceso de vacunación contra la Covid-19, el más masivo de la historia de la humanidad, pero que, a su vez, ha evidenciado la desigualdad entre países. Más allá de la Covid, en 2021 el mundo ha sido testigo de la aprobación de un novedoso fármaco frente al cáncer de mama metastásico y del reconocimiento de los científicos David Julius y Ardem Patapoutian, galardonados con el Nobel de Medicina.
La razón de qué algunos casos de COVID sean más graves que otros está en la respuesta inflamatoria viral del cuerpo

La razón de qué algunos casos de COVID sean más graves que otros está en la respuesta inflamatoria viral del cuerpo

Los investigadores del laboratorio de Richard Flavell, de la Universidad de Yale, en Estados Unidos, que se preguntaban por qué entre el 80 y el 90% de las personas infectadas por el COVID-19 sólo presentan casos leves, mientras que entre el 10 y el 20% se enfrentan a síntomas más graves o potencialmente mortales, y han descubierto que la razón puede estar en la respuesta inflamatoria antiviral del organismo de cada paciente.
Identifican una nueva diana terapéutica que podría reducir la resistencia a la quimioterapia en cáncer de hígado

Identifican una nueva diana terapéutica que podría reducir la resistencia a la quimioterapia en cáncer de hígado

Dos estudios desarrollados por investigadores del CIBER de Enfermedades Hepáticas y Digestivas (CIBEREHD) y de la Universidad de León apuntan a una nueva diana terapéutica a la que dirigir fármacos para reducir la resistencia al sorafenib, el tratamiento estándar de primera línea utilizado en el cáncer de hígado avanzado, y mejorar la respuesta a la misma. Precisamente, el fracaso en esta quimioterapia es una de las causas del mal pronóstico del carcinoma hepatocelular (HCC), un tipo de neoplasia que supone la tercera causa de muerte relacionada con el cáncer a nivel mundial.
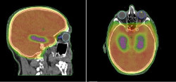
Un estudio cambia el abordaje del tratamiento de la metástasis cerebral en cáncer de pulmón

Un estudio cambia el abordaje del tratamiento de la metástasis cerebral en cáncer de pulmón

El Servicio de Oncología Radioterápica del Hospital del Mar de Barelona ha coordinado un estudio que demuestra que proteger el hipocampo de la radiación en aquellos pacientes con cáncer de pulmón de células pequeñas que tienen que someterse a radioterapia para evitar la aparición de metástasis en el cerebro es una "estrategia válida" para proteger su memoria sin afectar sus probabilidades de supervivencia.