Noticias de Cantabria

Salud.

Investigadores demuestran una nueva estrategia terapéutica contra la leucemia mieloide aguda

Investigadores demuestran una nueva estrategia terapéutica contra la leucemia mieloide aguda

Científicos del Instituto de Investigación Biomédica de Salamanca (IBSAL), de la Universidad de Salamanca (USAL) y del Servicio de Hematología del Complejo Asistencial Universitario de Salamanca (CAUSA), han demostrado la eficacia de una nueva estrategia terapéutica contra la leucemia mieloide aguda, una de las más frecuente en adultos y con una tasa de supervivencia general a cinco años del 30 por ciento.
La AEEH abre el proceso de certificación de los hospitales para la eliminación de la hepatitis C

La AEEH abre el proceso de certificación de los hospitales para la eliminación de la hepatitis C

La Asociación Española para el Estudio del Hígado (AEEH) ha comunicado que ha abierto este miércoles la segunda convocatoria del proceso de certificación de los hospitales en la excelencia en la implementación del Decálogo de la Eliminación de la Hepatitis C, con el objetivo de que los centros sanitarios españoles pongan en marcha las medidas necesarias para avanzar en la eliminación de esta enfermedad.

La OMS asegura que solo un 6% de los países cumple con los requisitos mínimos en materia de prevención de infecciones

La Organización Mundial de la Salud (OMS) ha publicado un informe en el que muestra que, aunque un 71 por ciento de los países cuenta con un programa de prevención y control de infecciones activo, solo el 6 por ciento cumple con todos los requisitos mínimos de la OMS en el periodo 2023-2024, y en el que se resalta las "diferencias significativas" en la capacidad y el progreso entre países de ingresos bajos y medios, y los de altos ingresos.

El diagnóstico precoz puede reducir en un 40% el riesgo de mortalidad por trombosis venosa profunda, según experto

En los casos más graves de trombosis venosa profunda (TVP) las tasas de mortalidad y amputación de miembros pueden superar el 40 por ciento, sin embargo, esta cifra podría disminuir en un 40 por ciento con un diagnóstico precoz, según ha asegurado el adjunto de la unidad de Radiología Vascular e Intervencionista del Hospital Universitario Virgen de las Nieves de Granada, el doctor Juan José Ciampi, durante las Jornadas de Actualización en enfermedad tromboembólica venosa (TEP y TVP), organizadas por la Sociedad Española de Radiología Vascular e Intervencionista.

Sanidad abre a consulta pública el RD que modifica la normativa sobre cirugía estética que pretende evitar el intrusismo

El Ministerio de Sanidad ha sacado este jueves a consulta pública la propuesta de modificación del Real Decreto (RD) 1277/2003, de 10 de octubre, por el que se establecen las bases generales sobre autorización de centros, servicios y establecimientos sanitarios, con el objetivo de asegurar que la cirugía estética sea practicada únicamente por médicos con la especialidad correspondiente, evitar el intrusismo laboral y garantizar la seguridad del paciente.

Un 33% de los europeos con VIH desconoce que convive con el virus

Un 33 por ciento de los europeos con el virus de la inmunodeficiencia humana aún desconoce que convive con el mismo, según se desprende de un informe realizado por la Oficina Regional para Europa de la Organización Mundial de la Salud (OMS) y el Centro Europeo para la Prevención y Control de Enfermedades (ECDC).

Experta recuerda la importancia de detectar la hipertensión pulmonar y no confundir sus síntomas

La jefa de la Unidad de Hipertensión Pulmonar del Hospital Clínic de Barcelona, la doctora Isabel Blanco Vich, recuerda la importancia de identificar hipertensión pulmonar y no confundir los síntomas con otras enfermedades ya que ,aunque se trate de una enfermedad rara y grave, "si se identifica pronto podremos iniciar el tratamiento cuanto antes y cambiar el pronóstico de la enfermedad".
Diputados de PP, PRC y PSOE defenderán en el Congreso la equiparación de enfermeras y la mejora profesional de médicos

Diputados de PP, PRC y PSOE defenderán en el Congreso la equiparación de enfermeras y la mejora profesional de médicos

El Parlamento de Cantabria ha designado a los diputados Miguel Ángel Vargas (PP), Paula Fernández (PRC) y Raúl Pesquera (PSOE) para defender en el Congreso de los Diputados la proposición de ley para la modificación de la Ley del Estatuto Básico del Empleado Público para equiparar la clasificación de los profesionales de Enfermería y Fisioterapia, así como la mejora profesional de los médicos.
Un 44,2% de los cántabros se automedica, más que la media nacional

Un 44,2% de los cántabros se automedica, más que la media nacional

Los datos recogidos en del VII Estudio de Salud y Estilo de Vida de Aegon muestran que un 44,2 por ciento de los cántabros toma algún preparado para la salud sin prescripción médica, bien sean medicamentos, productos homeopáticos o remedios naturales, una cifra por encima de la media nacional del 38,6 por ciento, y la cuarta más elevada de las comunidades.

Una experta destaca que la resistencia a los antimicrobianos "pone en riesgo" los avances médicos de las últimas décadas

La directora ejecutiva de Government Affairs de MSD España, Cristina Nadal, ha destacado que la resistencia a los antimicrobianos "pone en riesgo" los avances médicos de las últimas décadas, una problemática que en España provocó en 2023 unas 20 muertes por infecciones de bacterias multirresistentes por cada fallecido en accidentes de tráfico, según datos de la Sociedad Española de Enfermedades Infecciosas y Microbiología Clínica (SEIMC).
Médicos estadounidenses realizan el primer trasplante de pulmón doble totalmente robótico del mundo

Médicos estadounidenses realizan el primer trasplante de pulmón doble totalmente robótico del mundo

Un equipo quirúrgico de NYU Langone Health (Estados Unidos) ha realizado el primer trasplante de pulmón doble totalmente robótico del mundo; el procedimiento marca un gran avance en el potencial de la cirugía robótica y la atención mínimamente invasiva del paciente, lo que convierte a NYU Langone en el nuevo líder en cirugía de trasplante robótico en todo el mundo.
Sanidad destaca que el PRAN ha logrado un cambio en el uso de los antibióticos

Sanidad destaca que el PRAN ha logrado un cambio en el uso de los antibióticos

El secretario de Estado de Sanidad, Javier Padilla, ha destacado este lunes los logros del Plan Nacional frente a la Resistencia a los Antibióticos (PRAN) en su décimo aniversario, pues ha logrado que la población española ya no sea de la que más consume en Europa tras reducir su uso en un 13,5 por ciento, una cifra que llega al 69,5 por ciento en el caso de los animales.
El informe de Sanidad sobre Muface ve una opción "viable" y "razonable" su incorporación a la asistencia pública

El informe de Sanidad sobre Muface ve una opción "viable" y "razonable" su incorporación a la asistencia pública

El Ministerio de Sanidad considera que "el contexto actual hace que, por primera vez en muchos años, la posibilidad de incorporar a la población mutualista a la asistencia sanitaria pública sea una opción tanto viable como razonable"; y propone la incorporación gradual y estratificada de las personas mutualistas de MUFACE con la excepcionalidad de aquellos pacientes en situaciones críticas para lo que plantea una renegociación temporal tras la prórroga.

El 60% de pacientes con reagudizaciones de dolor crónico tiene problemas para mantener su trabajo, según experta

Diversos estudios señalan que hasta el 60 por ciento de los pacientes con reagudizaciones recurrentes de dolor crónico tienen dificultades para mantener un empleo a largo plazo, según asegura especialista en Medicina de Familia y Comunitaria en el Centro de Salud Campo de Belchite en Zaragoza, la doctora Eva Trillo-Calvo, durante el IV Congreso de la Sociedad Española Multidisciplinar del dolor (SEMDOR).

Científicos descubren posibles biomarcadores diagnósticos en glaucoma y cáncer colorrectal tras analizar el proteoma

La Unidad Funcional de Investigación en Enfermedades Crónicas (UFIEC) del Instituto de Salud Carlos III (ISCIII) han realizado dos estudios, publicados en las revistas `Redox Biology` y `Journal of Proteome Research`, en los que han logrado descubrir posibles nuevos biomarcadores diagnósticos, en este caso para el glaucoma y el cáncer colorrectal, tras realizar un análisis en profundidad del protoema.
La EMA da luz verde a `Leqembi` para primer tratamiento contra el Alzheimer

La EMA da luz verde a `Leqembi` para primer tratamiento contra el Alzheimer

El Comité de Medicamentos de Uso Humano (CHMP, por sus siglas en inglés) de la Agencia Europea de Medicamentos (EMA, por sus siglas en inglés) ha emitido tras meses de revisiones la recomendación de comercializar lecanemab, el primer fármaco que ha demostrado beneficios clínicos en la enfermedad de Alzheimer, para tratamiento del deterioro cognitivo leve o la demencia leve en pacientes que tienen solo una o ninguna copia de ApoE4.
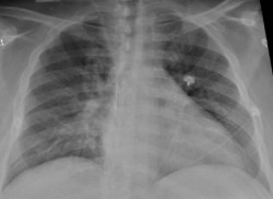
Investigadores de BRN piden "extremar la prevención" contra la neumonía adquirida en la comunidad mediante la vacunación

Investigadores de BRN piden "extremar la prevención" contra la neumonía adquirida en la comunidad mediante la vacunación

Los investigadores de la red Barcelona Respiratory Network (BRN) han pedido "extremar la prevención" contra la neumonía adquirida en la comunidad, especialmente entre las personas más vulnerables, a través de vacunas tales como la antigripal o la del Covid-19, que pueden conducir a esta enfermedad, así como la vacuna antineumocócica 20-valente, especialmente para mayores de 65 años, con motivo del Día Mundial de la Neumonía, que se celebra este martes.

Identificado un potencial biomarcador de la progresión de la enfermedad de Parkinson

Un equipo de investigadores de la Universidad de Barcelona y el Instituto de Investigación Biomédica de Bellvitge (IDIBELL) ha identificado que los pacientes de Parkinson con una progresión lenta de la enfermedad tienen un aumento significativo de los niveles de la molécula ecto-GPR37 en el líquido cefalorraquídeo, por lo que este receptor neuronal podría funcionar como biomarcador de la progresión de la patología.

Realizar una RCP incluso 10 minutos después de la parada cardiaca protege la función cerebral, según un estudio

Cuanto antes inicie un reanimador no profesional, como un transeúnte, la reanimación cardiopulmonar (RCP) de una persona que sufre una parada cardiaca, incluso hasta 10 minutos después de la parada, mayores serán las posibilidades de salvarle la vida y proteger su función cerebral, según una investigación preliminar que se presentará en el Simposio Científico de Reanimación 2024 de la Asociación Americana del Corazón.