Noticias de Cantabria

Salud.

Los científicos de la biotecnológica Gero han detectado una forma de romper el límite de la longevidad humana

Los científicos de la biotecnológica Gero han detectado una forma de romper el límite de la longevidad humana

El equipo de investigación de Gero, una empresa de biotecnología con sede en Singapur, en colaboración con el Roswell Park Comprehensive Cancer Center de Buffalo (Estados Unidos), ha anunciado en una publicación en `Nature Communications` los resultados del estudio sobre las asociaciones entre el envejecimiento y la pérdida de la capacidad de recuperación ante el estrés.

Un inodoro inteligente podrá analizar pronto las heces para detectar problemas de salud mediante IA

Una herramienta de inteligencia artificial que se está desarrollando en la Universidad de Duke, en Estados Unidos, puede incorporarse al inodoro estándar para ayudar a analizar las heces de los pacientes y dar a los gastroenterólogos la información que necesitan para proporcionar un tratamiento adecuado, según una investigación que fue seleccionada para su presentación en la Digestive Disease Week (DDW) 2021.

Resuelto el antiguo debate sobre el transporte de los ovocitos en las trompas de Falopio

El Instituto Lundquist, en Estados Unidos, ha anunciado este lunes que el doctor Wei Yan y su grupo de investigación han resuelto un antiguo misterio y debate científico sobre el mecanismo que subyace al transporte de gametos y embriones dentro de la trompa de Falopio, según publican en la revista `Proceedings of National Academy of Science`. Se trata de un hallazgo fundamental, ya que se sabe que la alteración de la función de transporte conduce a la infertilidad femenina y al embarazo ectópico.

Un estudio a largo plazo muestra una fuerte relación entre la diabetes gestacional y la diabetes 1 y 2 más adelante

Un estudio de 23 años de duración, presentado en el 23º Congreso Europeo de Endocrinología (e-ECE 2021) este lunes, ha descubierto que las mujeres que padecen diabetes gestacional durante el embarazo son más propensas a desarrollar diabetes de tipo 1 y de tipo 2 más adelante. El estudio sugiere que debería considerarse la posibilidad de realizar pruebas de autoanticuerpos a las mujeres que padecen diabetes gestacional para conocer mejor su pronóstico.
Desarrollan un método de prueba COVID-19 portátil que da resultados en un segundo

Desarrollan un método de prueba COVID-19 portátil que da resultados en un segundo

Investigadores de la Universidad de Florida, en Estados Unidos, y de la Universidad Nacional Chiao Tung, en Taiwán, han desarrollado un método de prueba rápido y portátil para los biomarcadores de COVID-19 que amplifica la señal de unión para un biomarcador objetivo y proporciona detección en un segundo, según publican en el `Journal of Vacuum Science & Technology B`.
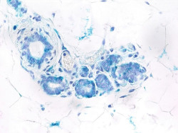
Descubren una conexión entre senescencia y células madre provocada por una proteína iniciadora del cáncer de mama

Descubren una conexión entre senescencia y células madre provocada por una proteína iniciadora del cáncer de mama

Investigadores del Centro de Investigaciones Oncológicas (CNIO) y del Instituto de Investigación Biomédica de Bellvitge (IDIBELL) han encontrado que una activación excesiva de la vía de RANK provoca en las células mamarias una doble función: en las fases más iniciales del cáncer activa la senescencia, que tiene un efecto protector y retrasa la aparición de los tumores; en las fases más avanzadas la senescencia inducida por RANK favorece el acúmulo de células madre en el tejido mamario, promoviendo el crecimiento del tumor y una mayor agresividad.
Identifican una nueva inmunoterapia "muy eficaz" contra la hepatitis B

Identifican una nueva inmunoterapia "muy eficaz" contra la hepatitis B

Científicos del University College de Londres (UCL) han identificado una nueva inmunoterapia para combatir el virus de la hepatitis B (VHB), la causa más común de cáncer de hígado en el mundo, en la revista `Nature Communications`. Cada año, en todo el mundo, el VHB crónico causa unas 880.000 muertes por cirrosis hepática y carcinoma hepatocelular/cáncer de hígado (CHC).
Una vacuna basada en células madre ofrece un nuevo enfoque que podría proteger contra el cáncer de páncreas

Una vacuna basada en células madre ofrece un nuevo enfoque que podría proteger contra el cáncer de páncreas

Una nueva investigación llevada a cabo por investigadores de la Universidad de Stanford, en Estados Unidos, ha hecho avanzar un viejo concepto para desarrollar una nueva estrategia que permita entrenar el sistema inmunitario de los ratones para que reconozcan las células cancerosas, de modo que una vacuna basada en células madre, probada en ratones, ofrece un nuevo enfoque que podría proteger contra el cáncer de páncreas.
La insulina regula la grasa corporal independientemente de los carbohidratos de la dieta

La insulina regula la grasa corporal independientemente de los carbohidratos de la dieta

Investigadores de la Academia China de Ciencias sugieren que, aunque la insulina desempeña un papel en la regulación de la grasa corporal, lo hace independientemente de los carbohidratos de la dieta. Por lo tanto, las dietas bajas en carbohidratos y altas en grasas --incluida la popular dieta cetogénica-- pueden no ser más eficaces para mantener a raya la obesidad que las que equilibran la ingesta de calorías con el gasto energético, según publican en la revista `Science`.
La reducción de la función renal se relaciona con un mayor riesgo de demencia

La reducción de la función renal se relaciona con un mayor riesgo de demencia

La enfermedad renal crónica se produce cuando los riñones de una persona pierden progresivamente su capacidad de filtrar los residuos de la sangre y eliminar los líquidos. Ahora, un nuevo estudio ha descubierto que las personas con una función renal reducida pueden tener un mayor riesgo de desarrollar demencia, según publican en la edición en línea de `Neurology`, la revista médica de la Academia Americana de Neurología.
Las células madre mesenquimales humanas, prometedoras en el tratamiento de infecciones pulmonares crónicas

Las células madre mesenquimales humanas, prometedoras en el tratamiento de infecciones pulmonares crónicas

Una nueva investigación ofrece esperanza a quienes padecen una enfermedad crónica y difícil de tratar llamada infección pulmonar por micobacterias no tuberculosas (MNT), ya que ha encontrado que las células madre mesenquimales humanas resultan prometedoras en el tratamiento de esta patología, según publican sus autores en la revista en la revista `STEM CELLS Translational Medicine`.
La genética regula activamente, según la salud cardiovascular, la cantidad de café que bebemos y cómo lo bebemos

La genética regula activamente, según la salud cardiovascular, la cantidad de café que bebemos y cómo lo bebemos

Hay quien necesita tomar el café con toda su potencia de cafeína sin embargo hay quien prescinde de ella y apuesta por el descafeinado, o quien prefiere la espuma de un capuchino. Investigadores australianos han analizado el qué regula y decide cómo consumir café y han observado que la genética regula activamente la cantidad de café que bebemos y cómo lo bebemos, y que esta información dice más sobre su salud cardiovascular del consumidor de lo que se cree.
Los investigadores avanzan hacia una alternativa viable al trasplante de órganos hepáticos

Los investigadores avanzan hacia una alternativa viable al trasplante de órganos hepáticos

Los nuevos conocimientos sobre las diferencias entre las células hepáticas fetales y las adultas podrían servir para que los trasplantes de células hepáticas tengan éxito a largo plazo. El trasplante de células hepáticas funcionales en el hígado de un paciente puede ayudar a reemplazar la función hepática deteriorada por la enfermedad, según una nueva investigación presentada en la reunión anual de la Sociedad Americana de Patología Investigativa durante la reunión virtual de Biología Experimental (EB) 2021.
El microambiente óseo favorece el comportamiento metastásico del cáncer de mama

El microambiente óseo favorece el comportamiento metastásico del cáncer de mama

Dos estudios dirigidos por el Baylor College of Medicine, ubicado en el Centro Médico de Texas, en Estados Unidos, arrojan nueva luz sobre la cuestión sin respuesta de por qué el cáncer de mama con receptores de estrógeno positivos (RE+) a veces vuelve a crecer en el hueso y se extiende a otros tejidos a pesar de las eficaces terapias endocrinas dirigidas al RE.
Descubren el secreto del interruptor del hambre en el cerebro

Descubren el secreto del interruptor del hambre en el cerebro

Tener hambre constantemente, sin importar cuánto se coma es la lucha diaria de las personas con defectos genéticos en el control del apetito del cerebro, y a menudo termina en obesidad severa. En un estudio publicado en `Science`, investigadores del Instituto Weizmann de Ciencias, junto con colegas de la Universidad Queen Mary de Londres y la Universidad Hebrea de Jerusalén, han revelado el mecanismo de acción del interruptor maestro del hambre en el cerebro.

Algunas placas de Alzheimer pueden ser protectoras y no destructivas, lo que sugiere una nueva dirección terapéutica

Uno de los rasgos característicos de la enfermedad de Alzheimer (EA) es la acumulación de placas de beta amiloide en el cerebro. La mayoría de las terapias diseñadas para tratarla se dirigen a estas placas, pero han fracasado en gran medida en los ensayos clínicos. Una nueva investigación realizada por científicos del Salk Institute, en Estados Unidos, pone en entredicho las opiniones convencionales sobre el origen de un tipo de placa muy frecuente, indicando la razón por la que los tratamientos no han tenido éxito.

La inmunoterapia sola prolonga la vida de los pacientes con cáncer de pulmón metastásico con mutación en KRAS

Las pruebas reales sugieren, por primera vez, los cursos de tratamiento más beneficiosos que podrían ayudar a prolongar la vida de los pacientes con cáncer de pulmón de células no pequeñas metastásico, según una investigación del Centro Oncológico Abramson de la Universidad de Pensilvania (Estados Unidos) publicada en línea en la revista `JAMA Oncology`.
El glaucoma puede ser algo más que un problema de presión ocular

El glaucoma puede ser algo más que un problema de presión ocular

Una sustancia química conocida por proteger las células nerviosas también frena el glaucoma, la principal causa de ceguera irreversible, según los resultados de un nuevo estudio en ratas. Dirigido por investigadores de la Facultad de Medicina Grossman de la Universidad de Nueva York, el estudio se centra en el líquido acuoso del interior del ojo del que depende su funcionamiento. Según los investigadores, la presión del líquido puede acumularse en pacientes con glaucoma, desgastando las células del ojo y los nervios que las conectan con el cerebro.
Los brotes pueden evitarse si el 60% de la población cumplen con el uso de mascarillas y distanciamiento social

Los brotes pueden evitarse si el 60% de la población cumplen con el uso de mascarillas y distanciamiento social

Los estudios demuestran que el uso de máscaras y el distanciamiento social pueden contener la propagación del virus COVID-19, pero no se conoce con exactitud su eficacia combinada. Investigadores de la Universidad de Nueva York y del Politécnico de Turín (Italia) han desarrollado un modelo de red para estudiar los efectos de estas dos medidas en la propagación de enfermedades transmitidas por el aire como el COVID-19. El modelo muestra que los brotes virales pueden evitarse si al menos el 60% de una población cumple ambas medidas, según publican en la revista `Chaos`.